Expert sheds light on Paul Green tragedy

The expert who studied Paul Green's brain after it was donated following his death has revealed the extent of the brain injury that was crippling the former league great.

Professor Michael Buckland, the head of the Department of Neuropathology at Royal Prince Alfred Hospital in Sydney, said the common symptoms of "chronic" traumatic encephalopathy – or CTE – had an overlap with mental health issues.

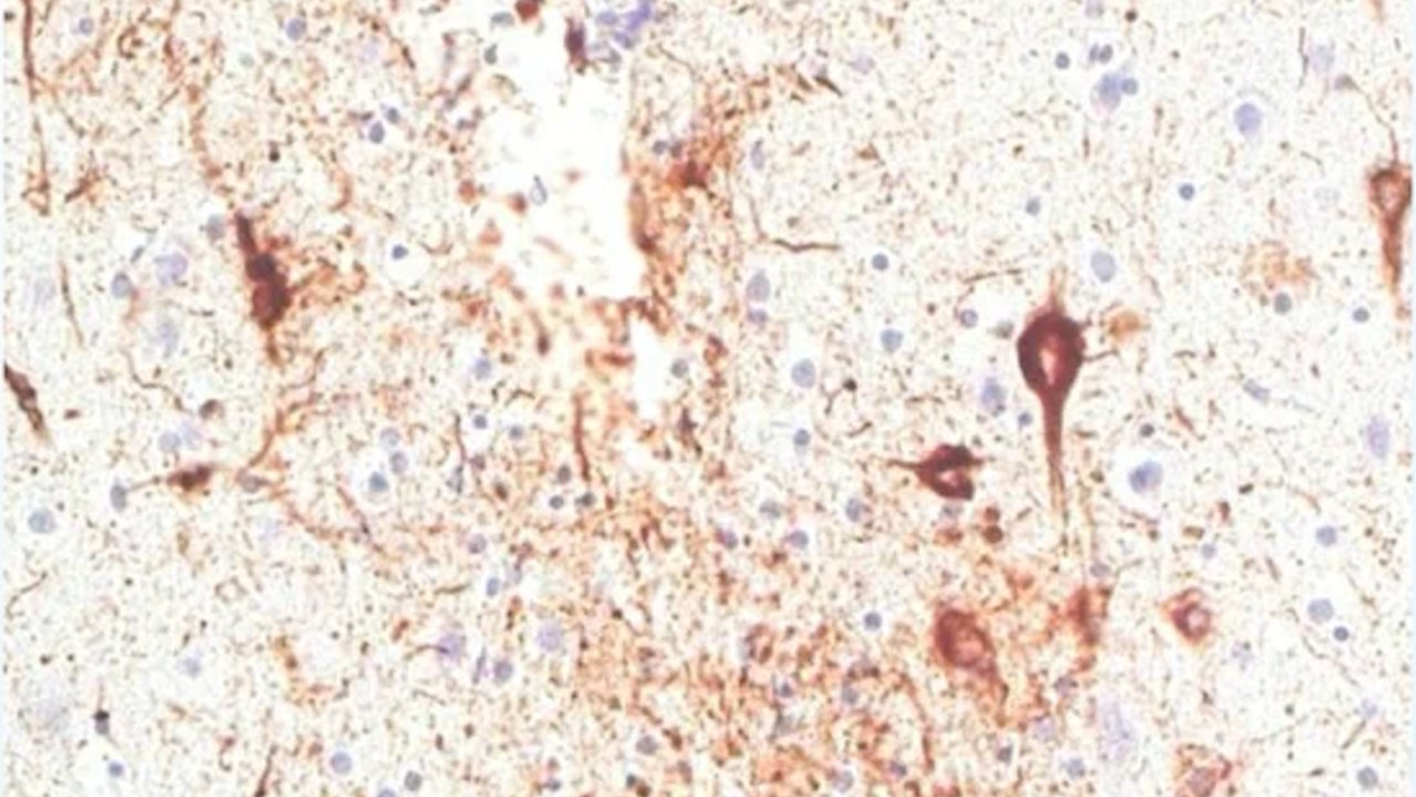
He explained two images – one of Green's brain and one of a normal healthy brain – showed the extent of Green's CTE.

READ MORE: Legend scoffs at 'fools' amid $3.2m escapade

READ MORE: Tennis champ suspended after failed drug test

READ MORE: Two-time champs ousted in World Cup boilover

The clear picture below is of a healthy brain, while the one with the brown marks across it was Green's.

A healthy brain. The expert who studied Paul Green's brain after his death has revealed he suffered crippling CTEs.

"That picture is a section of the brain stained for the abnormal tau protein. It's the abnormal tau protein accumulating in specific regions of the brain that defines CTE," Professor Buckland told Weekend TODAY on Saturday morning.

"The brown is the tau … (and) in the normal brain there's no brown at all. That's what you expect of someone of 49 and 50 (years-old) looking at the frontal cortex."

Green died aged 49. Professor Buckland said symptoms of CTE often first showed as mood or behavioural issues.

Paul Green's brain. The expert who studied Paul Green's brain after his death has revealed he suffered crippling CTEs. All the brown are CTEs.

"The most common symptom is impulsivity. They also often have anxiety, depression and explosivity.

"Often it has an overlap with mental health issues. Often people with early stage CTE have a diagnosis of mental health issues."

Currently, CTEs can only be diagnosed post-mortem. Although at this stage the only known cause of CTE is repeated head knocks, not everyone who suffers from those head knocks will suffer from CTE.

"From what we know so far, CTE only affects a minority of people that have been exposed to large numbers of head knocks," Professor Buckland said.

Head of the Department of Neuropathology at Royal Prince Alfred Hospital in Sydney, Professor Michael Buckland studied the brain of Paul Green after his death.

"As the signs of symptoms can often be non-specific, (it's) very easy to get tied up thinking you're going to get the disease.

"We know there are many things you can do to improve your brain health. So even if you have been exposed to large number of head knocks, looking after your general health – your weight, making sure you exercise, controlling your blood sugars, controlling your alcohol, making sure you are socially and intellectually engaged – all these sort of things are really important for brain health."

In an interview with The Australian, Green's wife Amanda said she found Paul dead after returning home from a pilates class.

"I'm going to do a quick class, I'll see you when I get home, get yourself going," she said to him as he lay half asleep in bed.

"I came home and found him … that was it.

Paul Green and wife Amanda Green on the red carpet ahead of the 2015 Dally M Awards satellite function at Jupiters Casino in Townsville.

"We often talked about our future and what that looked like. I never once doubted that we would spend the rest of our lives together."

Amanda said the diagnosis had given the family a sense of relief.

"I was able to sit Jed (10) down and explain: 'Daddy's brain was sick, that's why he did what he did'. The diagnosis has helped them understand what happened," she said.

"For my daughter Emerson (13) it has also given her a sense of relief because of what's being said out there (about Green's depression).

"She now understands that he wasn't in that space and there's nothing we could have done, because he was sick. We just didn't know it.

"This diagnosis has helped us understand and rationalise what has happened. It has given myself, the kids, some peace."

If you need help in a crisis, call Lifeline on 13 11 14. For further information about depression, contact beyondblue on 1300224636 or talk to your GP, local health professional or someone you trust.

For a daily dose of the best of the breaking news and exclusive content from Wide World of Sports, subscribe to our newsletter by clicking here!

Be the first to comment

Leave a Reply